皆様こんにちは、チカワデンタル院長の地川です。
私がこれまで歯科専門誌に執筆させていただいた原稿に関して、解説させていただきます。
【掲載記事情報】
クインテッセンス
デンタルインプラントロジー別冊
OJ(Osseointegration study club of Japan)21st meeting 特集号
2024年2月、p100-106
タイトル「矯正を必要とする全顎的包括治療におけるインプラント埋入時期の考察」
クインテッセンスは歯科医療分野における世界的に著名な学術出版社 Quintessence Publishing が発行する歯科専門雑誌です。日本においても、歯科医師を対象とした代表的な臨床系歯科雑誌の一つです。インプラント、補綴、歯周、保存、矯正、口腔外科など幅広い分野を扱っております。
歯並びやかみ合わせが大きく乱れている場合、「全顎治療」と呼ばれる全体的な治療が必要になることがあります。こうした治療では、矯正治療とインプラント治療を組み合わせて行うことも少なくありません。
矯正治療は歯並びを整える治療ですが、歯が抜けたままになっている部分があると、歯を動かす際の「支え」が不足してしまうことがあります。特に奥歯が失われている場合、かみ合わせが安定しないため、矯正治療が難しくなることがあります。
そのような場合、矯正治療を始める前にインプラントを入れて、かみ合わせの支えを作りたいと考えるのが普通です。インプラントは骨としっかり結合するため、矯正治療の際の安定した支えとしても役立ちます。
ただし、ここで一つ注意点があります。矯正治療では歯は少しずつ動いていきますが、インプラントは骨に固定されているため動きません。顎の位置が上下に動けば、歯の位置は前後にずれます。
顎関節も3次元的に偏位することがあります。そのため、矯正治療が終わったあとに、インプラントと周囲の歯との位置関係に大きなズレが生じることがあります。2ミリ程度のズレであればカバーできますが、それ以上のズレがあると最終的に無理な歯の形になってしまいます。

もちろん治療計画の段階で最終的な歯並びを予測し、インプラントの位置を決めますが、歯の動きは非常に繊細なため、完全に予測通りになるとは限りません。そのため矯正とインプラントを併用する治療では
1、矯正で歯を動かす量が小さければ先にインプラントを入れて支えとして有効利用
2、矯正で歯を動かす量が大きければ、可能な限り矯正後にインプラント治療を行う
という考え方が良いでしょう。
【ケース1】
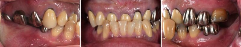
今回ご紹介する患者さんは40代の男性で、奥歯の欠損と歯並びの乱れによってかみ合わせが不安定な状態でした。奥歯がないことで、しっかり噛むことが難しく、全体のバランスも崩れていました。


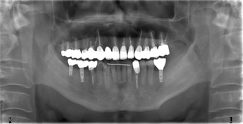
※初診時の口腔内とレントゲンの写真
この場合、インプラントを先に行い、奥歯の噛み合わせを安定させてから矯正を行うことが重要です。一方で、こちらのケースでは理想モデルを組んだ結果、矯正で歯を動かす量が大きいことが判明しました。

もし思うように歯が動かなければ、先に入れたインプラントが周りの歯と大きくずれる危険性があります。そこで今回は細くて簡単に埋めたり外したりできる仮インプラントを利用しました。(図6)

仮のインプラントの上に仮の歯を装着して矯正治療を行い、矯正後に仮のインプラントを外して正規のインプラントを入れました。
このように矯正とインプラントのタイミングを慎重に考えて組み合わせることで、歯並びとかみ合わせと審美、全ての改善を達成できたと考えてます。


まとめ
・矯正とインプラントの併用は、高度な全額治療を実現できる
・インプラントを先に入れれば、その後の矯正治療で支柱として活躍できる
・先に入れたインプラントは、矯正治療中に周りの歯と大きくずれることがあり、矯正後にインプラントを行う方が安全なケースもある
【治療費に関して(税抜)】
※現在の価格設定に合わせてます
・咬合診査 ¥36,000
・咬合再構成(フルマウス治療加算)¥200,000
・セットアップモデル作成(¥58,000)
・矯正分析¥50,000
・表の矯正上下¥680,000
・仮のインプラント2本¥50,000
・左下インプラント1本¥400,000
・右下インプラント2本¥770,000
・セラミック12本¥1,560,000
・ファイバーポスト11本¥110,000
【治療期間】
診査、矯正準備 6ヶ月
矯正 2年6ヶ月
インプラント 6ヶ月
セラミック 10ヶ月
計4年4ヶ月
【掲載記事情報】
クインテッセンス
デンタルインプラントロジー別冊
OJ(Osseointegration study club of Japan)21st meeting 特集号
2024年2月、p100-106
タイトル「矯正を必要とする全顎的包括治療におけるインプラント埋入時期の考察」