こんにちは。
チカワデンタルの院長です。
前回は、矯正治療とインプラント治療を組み合わせた全顎治療についてご紹介しました。歯並びとかみ合わせを整えるために、この2つの治療を併用します。その際、インプラントが先か?矯正が先か?について考えを述べました。
掲載した症例は歯の移動量が大きかったので、仮のインプラントと仮の歯を矯正前に入れ、今日最後に正規のインプラントに置き換えた治療でした。
今回は歯の移動量が小さく、先にインプラントを入れたケースをご紹介します。
ケース2
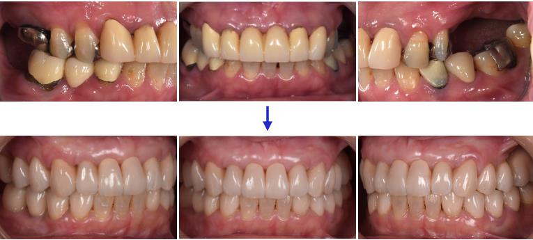
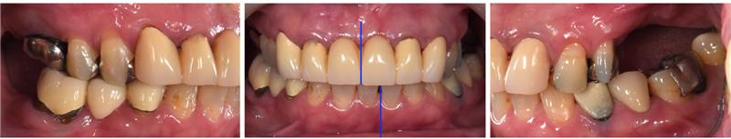
患者は40代女性で、上の歯が前に出ていることで噛みにくく、見た目も良くしたいとの理由で来院されました。奥歯の数は少なく、特に左上は大臼歯がありませんでした。上下の歯の真ん中のラインは大きくずれており、昔に入れた前歯の被せ物は変色し、審美障害を呈してました。(図1、2)

歯並びを理想的にデザインしたセットアップモデルを見ると、全体的な歯の移動量は2ミリ程度で小さく、本ケースではまず左上にインプラントを入れてから矯正を行いました。(図3)

抜く予定の歯は他にもありましたが、症状が無かったので、矯正終了までは抜かずに残しておき、矯正後に歯の移植、インプラントを追加で行い、全体のバランスをとりました。

歯並びやかみ合わせの問題は、矯正・インプラントだけで終わりではなく、可能であれば親知らずを移植することもあります。
なにより大切なのは、最終的に必要な歯のセラミック治療を行い、見た目や細かい噛み合わせの構築を行う点です。
全額的に矯正、インプラント、セラミック治療を行うとその治療期間は数年レベルになり、治療費も高額になります。必要なのは医師の総合的な治療計画と、患者さんの治したいという熱い思いです。患者さんもチームの一員となり、歯科医師とスタッフと三つ巴で治療は進んでいきます。
まとめ
・全体的な歯の移動量が少ないケースではインプラントを先に入れた方が良い
・抜く予定の歯でも、矯正中は役に立てることができる
・全額治療は長期間におよび、患者の治したいという熱い思い、歯科医師の知識と技術、スタッフによるサポートが三つ巴でゴールへと向かう
【治療費に関して(税抜)】
※現在の価格設定に合わせてます
・咬合診査 ¥36,000
・咬合再構成(フルマウス治療加算)¥200,000
・セットアップモデル作成(¥58,000)
・矯正分析¥50,000
・表の矯正上下¥680,000
・左上のインプラント治療¥750,000
・右上の歯の移植¥200,000
・右下インプラント2本¥926,000
・セラミック11本¥1,430,000
・ファイバーポスト7本¥70,000
【治療期間】
診査、矯正準備 6ヶ月
矯正 3年
インプラント 5ヶ月
セラミック 6ヶ月
計4年5ヶ月