こんにちは。チカワデンタルの院長です。
今回は私が歯科雑誌に投稿した記事
・デンタルダイヤモンド
2024年8月、p57-77
タイトル「若年者と中高年者では矯正治療はどう変わるか〜補綴で複雑化した口腔内への挑戦〜」
をもとに、
「矯正治療は若い人がやるものですか?」
「大人になってからでもできますか?」
という問いにお答え致します。
実際このようなご相談をいただくことがよくあります。結論から言うと、
矯正治療は何歳からでも可能です。
ただし、若い方と中高年の方では、治療の考え方や進め方が大きく異なります。
まず若い方の矯正治療は、ご自身の歯が健康な状態で残っていることが多く、比較的シンプルに進めやすいのが特徴です。
歯並びや噛み合わせを整えることが主な目的となり、虫歯や歯周病などの問題が少なければ、スムーズに治療を進めることができます。
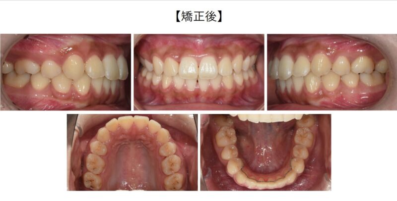
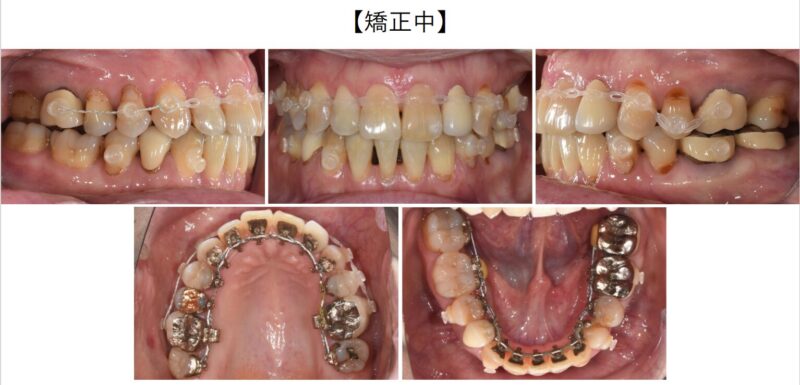
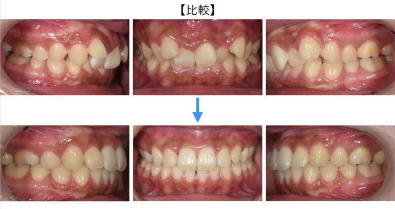
下に記載しているのが実際の症例です。

【治療費に関して(税抜)】
※現在の価格設定に合わせています。
矯正分析 ¥50,000
内側の矯正(インコグニート) ¥1,280,000
調整料 31ヶ月分 ¥155,000
リテーナー上下 ¥48,000
合計
¥1,533,000
【治療期間】
2年7ヶ月
ただし、被せ物などで細かい調整をすることができないため、矯正治療そのもので歯の位置を正確に仕上げる必要があります。そのため見た目以上に「精密さ」が求められる治療になります。
一方で、中高年の方の矯正治療は少し事情が異なります。すでに詰め物や被せ物が入っていたり、歯周病の治療が必要だったり、過去の治療の影響を受けていることが多くなります。また、歯を失っている部位にはインプラントや義歯などの欠損補綴の必要性が生じます。そのため、矯正治療の前にお口の中全体を整え、矯正期間用の詰め物や被せ物を仮に行い、矯正後にそれらを最終的な詰め物、被せ物で仕上げることが非常に重要になります。
また年齢とともに歯の動きはゆるやかになるため、若い方と同じように大きく歯を動かすのではなく、負担を抑えた現実的な治療計画を立てる必要があります。
ここで、治療を成功させるためのポイントをまとめます。
・矯正前に歯ぐきや虫歯の状態をしっかり整える
・被せ物は必要に応じて外し、歯の状態を正確に確認し、矯正用の仮の歯をセットする
・無理に大きく動かさず、体に優しい治療計画を立てる
・矯正と被せ物の治療をセットで考える
・治療期間やリスクを事前にしっかり理解する
このように、中高年の矯正治療は「歯並びを整える」だけでなく、「お口全体のバランスを整える総合的な治療」になります。
下に記載しているのが実際の症例です。

【治療費に関して(税抜)】
※現在の価格設定に合わせています。
矯正分析 ¥50,000
内側の矯正(インコグニート) ¥1,280,000
調整料 24ヶ月分 ¥120,000
詰め物(e-max)9本分 ¥855,000
被せ物(オールセラミック)6本分 ¥780,000
リテーナー上下 ¥48,000
合計¥3,133,000
【治療期間】
矯正期間2年+補綴期間1年
つまり、若い方の矯正は比較的シンプルで精密さが求められる治療であり、中高年の矯正は複数の治療を組み合わせた総合的な治療になることが多いのです。
当院では、見た目の改善だけでなく「しっかり噛める状態を長く維持すること」を重視した治療をご提案しています。
「自分の場合は矯正ができるのか?」
「インプラントや被せ物も必要になるのか?」
実際にはお口の状態によって最適な治療方法は大きく変わります。
当院では、矯正・インプラント・補綴治療を組み合わせた総合的な診断を行っていますので、歯並びや噛み合わせでお悩みの方は、ぜひ一度ご相談ください。