こんにちは、チカワデンタル院長の地川です。
今回は雑誌クインテッセンス、デンタルインプラントロジーに掲載された記事を元に前歯のインプラント治療に関しての記事を書かせて頂きます。
クインテッセンスは歯科医療分野における世界的に著名な学術出版社 Quintessence Publishing が発行する歯科専門雑誌です。
2025年5月vol32、p51-60
タイトル「Partial extruction therapyとGBRを併用した審美領域のインプラント治療」
前歯のインプラント治療において、患者様が最も気にされるのは「どれだけ自然に仕上がるか」です。実はこの“見た目の美しさ”は、単に歯を入れるだけではなく、周囲の骨や歯肉(歯ぐき)の状態によって大きく左右されます。
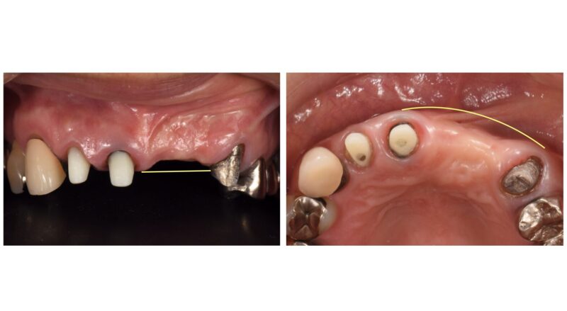
今回掲載の患者は初診時に入っていた仮の歯はタテにもヨコにも歪んでおり、左上の歯はすでに2本失っている状態でした。(資料1)
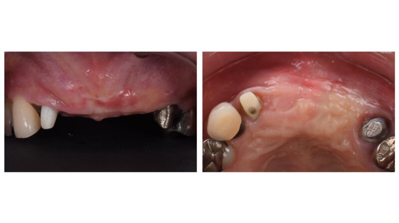
一般的に歯を抜いた後、そのまま放置すると骨や歯肉は時間とともに痩せてしまいます。(資料2〜5)

特に前歯ではこの影響が大きく、後からインプラントを入れる場合、骨を増やす処置(GBR)が必要になることも多く、治療回数や負担が増える傾向があります。
そこで近年注目されているのが、「抜歯と同時にインプラントを入れる方法」です。さらに、歯の一部をあえて残すことで歯肉や骨の形を維持する「ソケットシールドテクニック(SST)」という手法もあります。これにより、組織の吸収を最小限に抑え、より自然な仕上がりが期待できます。
今回の症例では、状態の異なる部位に対して2つのアプローチを使い分けました。
①向かってる左のすぐにインプラントが可能な部分にはSSTを併用し、できるだけ負担の少ない治療を選択。
②向かって右の、すでに歯が無く、骨が減っていた部分には、骨を増やす処置を段階的に行いました。

当院では常に技工士と何度もディスカッションし、治療に先駆けて理想的な形を綿密にシュミレーションしております。

もともと歯の無い部位は、まず骨を作り(資料8, 9)、

治癒を待って歯肉の移植を行いました。(10, 11)

結果として、歯ぐきのラインや歯の位置関係が整い、見た目だけでなく噛み合わせや横顔のバランスまで改善することができました。初めのシュミレーションを綿密に行ったことで良い結果が得られたと考えております。(資料12, 13)

治療後2年の時点でも安定した状態を維持しております。
この症例から言える大切なポイントは3つです。
・抜歯後はできるだけ早く治療することで、骨や歯肉を守れる
・もともと歯が無い部位は、段階的に確実なアプローチが求められる
・状態に応じて治療方法を選択することが、負担軽減と結果の両立につながる
インプラント治療は「入れること」だけでなく、「どのように入れるか」が非常に重要です。当院では、見た目と機能の両方を重視した治療計画を、テクニシャンとも呼ばれる技工士と立てています。
前歯の見た目でお悩みの方や、インプラントを検討されている方は、ぜひ一度ご相談ください。
【治療費に関して(税抜)】
噛み合わせ審査、シュミレーション6本
¥54,000
インプラント3本¥1,320,000
GBR¥200,000
抜歯即時SST¥78,000
中間の歯3本¥420,000
合計¥2,072,000
【治療期間(前歯)】
約2年